Valilikten yapılan açıklamaya göre, İl Emniyet Müdürlüğü Narkotik Suçlarla Mücadele Şubesi ekipleri, uyuşturucuyla mücadele çalışmalarını sürdürüyor.
Bu kapsamda, Tatvan'da durdurulan yolcu otobüsünde şüphe üzerine 2 yabancı uyruklu gözaltına alındı.
136 kapsülde 1 kilo 48 gram sentetik uyuşturucu...
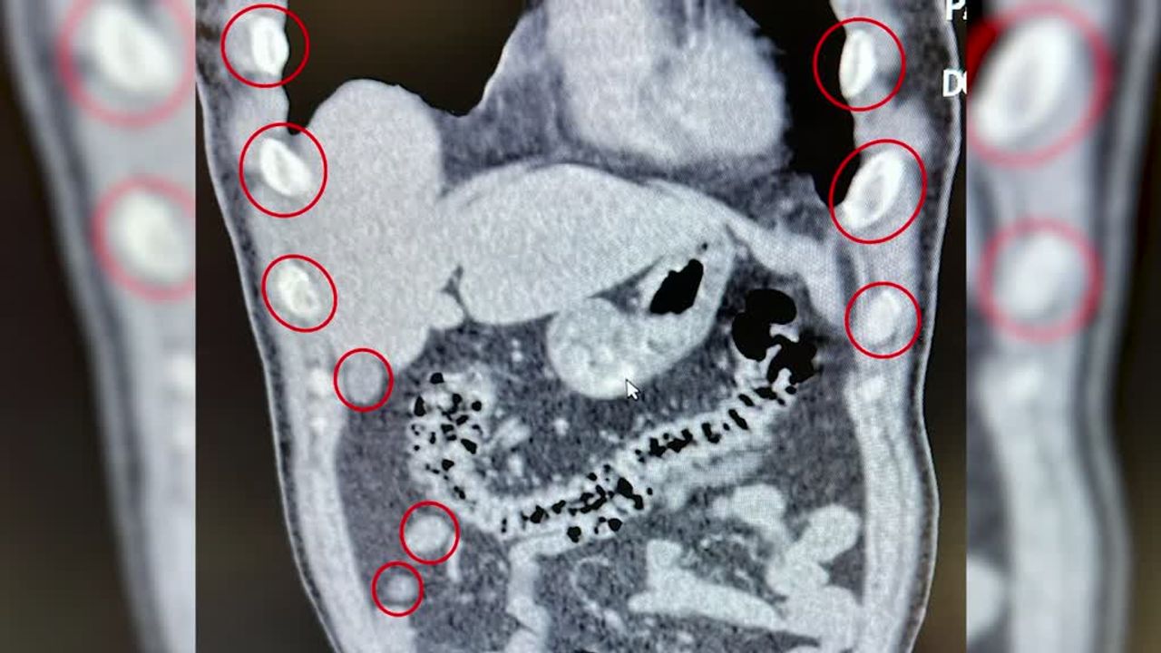
Bitlis Tatvan Devlet Hastanesine götürülen şüphelilerin röntgen ve tomografilerinde, mide ve bağırsaklarında çok sayıda yabancı cisim olduğu belirlendi.
Şüphelilerin yuttuğu 136 kapsüldeki 1 kilo 48 gram sentetik uyuşturucu, tıbbi müdahaleyle mide ve bağırsaklardan çıkarıldı.
"Uyuşturucu madde imal ve ticareti" suçundan adliyeye sevk edilen şüpheliler, çıkarıldıkları hakimlikçe tutuklandı.





