Diyarbakır
Bölge
Röportaj
Foto Galeri
Yazarlar
DOLAR
44,46550
%0.28
EURO
51,32990
%0.14
STERLİN
59,26300
%0.23
G.ALTIN
6378,98000
%1.53
BİST100
12.663,00
%-50
BITCOIN
66.119,20
%-4.81
Kayapınar
Bağlar
Bismil
Çermik
Çınar
Çüngüş
Dicle
Eğil
Ergani
Hani
Hazro
Kayapınar
Kocaköy
Kulp
Lice
Silvan
Sur
Yenişehir
14
°
Diyarbakır
Bölge
Gündem
Röportaj
İlim & İrfan
Sağlık
Siyaset
Biyografi
İletişim
Diyarbakır Nöbetçi Eczaneler
Diyarbakır Hava Durumu
Diyarbakır Namaz Vakitleri
Diyarbakır Trafik Yoğunluk Haritası
Süper Lig Puan Durumu ve Fikstür
Tüm Manşetler
Son Dakika Haberleri
Diyarbakır
Bölge
Gündem
Röportaj
İlim & İrfan
Sağlık
Siyaset
Biyografi
İletişim
Facebook
Twitter
Instagram
WhatsApp İhbar Hattı
Diyarbakır
Bölge
Gündem
Röportaj
İlim & İrfan
Sağlık
Siyaset
Biyografi
İletişim
Sağlık
Sağlık
Çamurlu suda enfeksiyonların bulaşma riski var mı?
Sağlık
Prof. Dr. Çağın'dan "Bağırsak Sağlığı"na ilişkin kritik uyarı
Sağlık
“Her gebeye bir ebe” uygulamasıyla anne adaylarına yakın takip
Sağlık
Uzmanından kritik uyarı: Geçmeyen öksürük veremin habercisi olabilir
Diyarbakır
Tüm bağırsakları ve midesi karın dışında doğdu, Diyarbakır'da sağlığına kavuştu
Sağlık
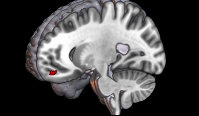
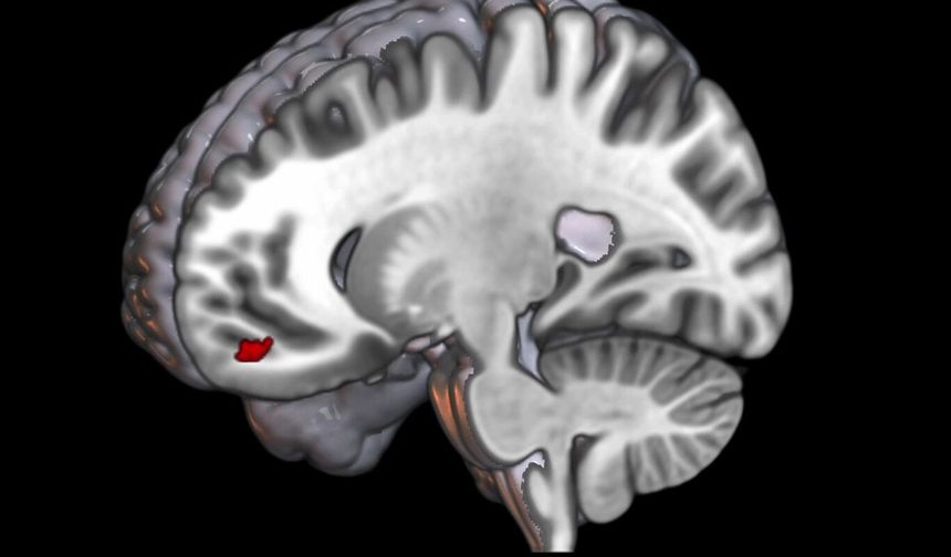
Migrenli beyin 'önemsizi' ayıramıyor, ışık ve desenler ağrıyı tetikliyor
Sağlık
Şanlıurfa’da genç hasta nakille kalça protezinden kurtarıldı
Sağlık
Yeme bozuklukları, içsel denge ve çatışmanın bir yansıması!
Sağlık
Prof. Dr. Şahiner, kolorektal kanserinde erken teşhise dikkat çekti
Sağlık
36 ilaç geri ödeme kapsamına alındı!
Sağlık
Yapay zekâ, gençlerin diyetini yanlış yönlendiriyor
Sağlık
SGK 36 yeni ilacı geri ödeme listesine aldı
Sağlık
Mutsuzluğun en büyük nedenlerinden biri kıyaslama davranışı
Şanlıurfa’da uzmanlardan bayramda sağlıklı beslenme uyarısı
Bayram süresince 381 bin 559 sağlık çalışanı görev yapacak
Sağlık
Uzmanlardan Ramazan Bayramı'nı sağlıklı geçirmek için öneriler
Sağlık
Şeker, ağız florasını bozarak çürüğü hızlandırıyor!
Sağlık
Bayramda sağlıklı beslenme için uzmanından kritik uyarılar
Sağlık
Diyetisyen Tekerek: Bayramda aşırı ve ağır yemekten sakının
Sağlık
Bayramda aşırı şeker ve tatlı tüketimi diş sağlığını tehdit edebilir
Sağlık
Tedavide sosyal medya uyarısı: Modaya değil, doktora güvenin
Sağlık
Sağ-Çev Başkanı Dursun: Gazze'de yaralılara koşan sağlık emekçileri insanlığa örnek oldu
Sağlık
Ağrı'da sismik izolatörlerin kullanıldığı 270 yataklı hastanenin inşası sürüyor
Güncel
İlaç fiyatlarında yeni kur düzenlemesi yürürlüğe girdi
Sağlık
Sessiz ilerleyen böbrek hastalıklarına karşı uzmanlardan uyarı
Sağlık
Çocuklarda ekran karşısında yemek masum mu?
Sağlık
Bazı kullanıcılar ‘yapay zeka psikozu’ riski altında olabilir!
Sağlık
Prof. Dr. İrfan Koca'dan 'Geçmeyen ağrı' uyarısı
Sağlık
Op. Dr. Karagözoğlu: 'Sünnet, uzman hekimler tarafından yapılmalı'
Sağlık
Bahar aylarında alerjik burun tıkanıklığı şikayetleri artıyor
Sağlık
"Sessiz çatlama" iş hayatında görünmeyen iç kopuşa işaret ediyor
Sağlık
Dr. Bekfilavioğlu: 'Akut böbrek yetmezliği erken müdahale edilmezse ciddi sonuçlara yol açabilir'
Sağlık
Anne karnında bağırsağı delindi, müdahale sonrası sağlığına kavuştu
Diyarbakır
'Obezite, kişinin yaşam kalitesini düşürüyor'
Sağlık
Obezite birçok kronik hastalığa zemin hazırlıyor
Sağlık
Oruç tutarken vücudunuzda neler oluyor? Uzmanından çarpıcı açıklamalar
Sağlık
Uzmandan gebelere Ramazan tavsiyesi
Sağlık
KBB Uzmanı Dr. Ermutlu: Kulak sağlığı ertelenemez bir ihtiyaçtır
Sağlık
1 milyondan fazla çocuğa işitme taraması yapıldı
Sağlık
Oruçluyken spor yapacaklara uzman uyarısı: Vücudu zorlamayın
Sağlık
Kırmızıgül: Diş kaybı sonrası implant gecikirse tedavi zorlaşıyor
Sağlık
Günlük kanser tarama sayısı en yüksek seviyeye ulaştı
Bölge
Malatya'da bağımlılıkla mücadelede yeni adım
Sağlık
Türkiye’den 35 hastane 'Dünyanın En İyileri' arasında
Sağlık
Çocuklarda sağlıklı yeme alışkanlığı için 'ödül ve ceza' tuzağına dikkat!
Bölge
Uzmandan sünnet uyarısı: Çocuk sağlığı için sünnette doğru adım şart
Bölge
Sahuru atlamak metabolizmayı olumsuz etkiliyor
Sağlık
Diyetisyen Korkmaz: Ramazanda bilinçli tercih, dengeli sofra şart
Sağlık
Bingöl’e 33 yeni hekim atandı
Sağlık
Dr. Kuzukıran'dan gebelik sürecindeki anne adaylarına oruç önerisi
Bölge
Batman'da devlet hastanesinde bir ilk yaşandı
Sağlık
Uzman Diyetisyen Ertaş: Oruç vücudu yeniliyor
Sağlık
Sigarayı bırakanlar: Daha kaliteli bir hayatımız var
Bölge
Bingöl balı bilimsel verilerle değerlendirildi
Sağlık
Dr. Tüzün: Sağlıklı oruç için iftar ile sahur arası dengeli su tüketimi şart
Sağlık
Dr. Kademli, kışın çocuklarda enfeksiyonlara karşı alınacak önlemler hakkında bilgi verdi
Sağlık
Gaz sıkışması ve mide şişkinliği: Nedenleri, belirtileri ve tedavi yöntemleri
Sağlık
Ramazan’da oruçluyken baş ağrısı neden olur? Nasıl önlenir?
Gaziantep
Kafasındaki nadir tümör alındı, hayata tekrar gülümsedi
Sağlık
Uzmanından Ramazan’da oruç ve beslenme tavsiyeleri
Sağlık
Ramazanda suyu akıllı tüketin: Vücut suyu depolayamıyor
Sağlık
Emzik seçiminde kritik uyarı: Bebeklerde lateks alerjisine dikkat
Sağlık
TÜİK sağlık araştırması 2025: Düşük gelir grubunda sağlık harcaması yükü daha fazla
Sağlık
Uzm. Psikolog Elalmış: Öfke doğal bir duygudur, saldırganlık tercihtir
Adıyaman
Kahta Devlet Hastanesi'nde gece polikliniği hizmeti başladı
Sağlık
Meme kanserinde erken tanı hayat kurtarıyor
Sağlık
Sahur ve iftar sonrası diş bakımı neden önemli?
Sağlık
Uzmanından ''İftar yemeğini ikiye bölün'' önerisi
Bölge
Şanlıurfa’da KETEM’den ücretsiz kanser taraması hizmeti
Sağlık
Oruç sürecinde dengeyi korumak sağlığın anahtarı
Sağlık
Ramazan'da doğru beslenmenin 3 temel kuralı
Güncel
Bakan Memişoğlu: Başvurular yüzde 60 arttı
Sağlık
Batman'da yüzlerce öğrenciye işitme taraması
Sağlık
Uzmanından kritik uyarı: Göz tembelliğinde erken teşhis çok önemli
Daha fazla göster
Üst
Ana Sayfa
Kategoriler
Diyarbakır
Bölge
Röportaj
Foto Galeri
Yazarlar
Diyarbakır
Aile
Asayiş
Bilim & Teknoloji
Bölge
Dünya
Eğitim
Ekonomi
Genel
Güncel
Gündem
İlim & İrfan
Kültür & Sanat
KURDÎ
Sağlık
Sağlık & Yaşam
Siyaset
Spor
Yaşam
Foto Galeri
Video
Yazarlar
Biyografi
Anketler
Künye
İletişim
Servisler
Diyarbakır Nöbetçi Eczaneler
Diyarbakır Hava Durumu
Diyarbakır Namaz Vakitleri
Diyarbakır Trafik Yoğunluk Haritası
Süper Lig Puan Durumu ve Fikstür
Tüm Manşetler
Son Dakika Haberleri
Haber Arşivi
Web sitemizden ayrılıyorsunuz
Bu bağlantı sizi
https://www.amedhaber.net
dışındaki bir siteye yönlendiriyor.